腹膜后纤维化致尿路梗阻手术治疗分享、总结
病例资料
患者,男,53岁,因“左侧腰部疼痛不适半月余”入院。患者自诉于半月前无明显原因及诱因出现左侧腰部疼痛,呈钝痛,阵发性发作,平卧后加重,伴恶心 ,无呕吐,无尿频、尿急,尿痛,无肉眼血尿,发热。曾在外院就诊,行泌尿系彩超示左肾轻度积水。今为求进一步诊治来院就诊。以“腰痛待查,左肾积水”收治入院。既往高血压10余年,口服硝苯地平缓释片,血压最高达160/80mmhg左右,控制尚可。无糖尿病病史。否认心脏病史,无外伤、手术史,无药物过敏史。
入院后查体:腹软,无压痛及反跳痛,肠鸣音可,肝脾不大,左肾区叩击痛,右肾区无压痛及叩击痛,双侧输尿管走行区无压痛,耻骨上膀胱区无压痛,阴茎发育可,尿道口开口正常
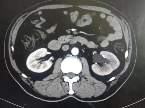
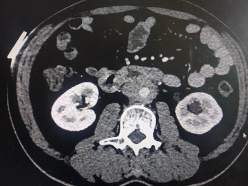
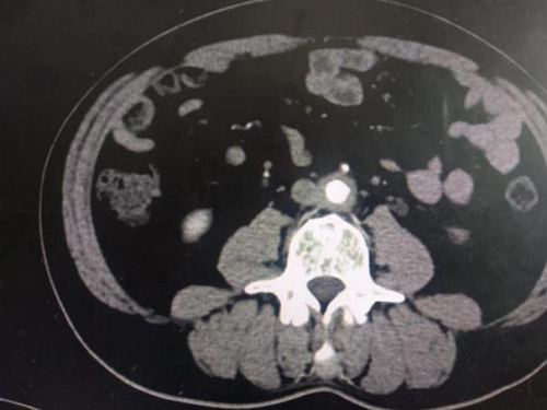
辅助检查:完善泌尿系CTU示腹主动脉下段、双侧髂总动脉周围见软组织影环绕,可见延迟强化,于左侧髂总动脉水平病变与左输尿管分界不清,相应水平左输尿管狭窄,以上输尿管,肾盂、肾盏扩张积水,腹腔、腹膜后未见明显肿大淋巴结。(如下图1-4)




(图1-4泌尿系CTU示考虑腹膜后纤维化累及左输尿管致尿路梗阻)
根据症状、体征及辅助检查,目前诊断为腹膜后纤维化,左输尿管梗阻 并左肾积水。中年男性,左侧腰部钝痛半月余,既往高血压病史,无外伤、手术史。结合影像学检查,考虑腹膜后纤维化致左输尿管梗阻并左肾积水。术前联系风湿免疫科会诊,建议给予类固醇激素他莫昔芬联合免疫抑制剂环磷酰胺治疗。为保护肾功能,避免尿路梗阻进一步加重肾积水,建议行左输尿管镜检支架管置入术备左肾穿刺造瘘术。向患者及家属告知诊疗意见,同意后于入院后第3天行全麻下经尿道左输尿管镜检置管术。术中进镜观察见左输尿管开口正常,在斑马导丝引导下进镜观察输尿管中下段管腔狭窄并扭曲,粘膜略苍白,输尿管镜通过困难,斑马导丝 顺利通过狭窄段,在其引导下置入双J管(半年)。留置双腔尿管,手术顺利,患者安返病房。术后给予积极抗感染、补液营养对症支持治疗,导尿管持续饮引流。术后第2天拔除尿管,嘱多饮水,勿憋尿,避免剧烈活动,遵风湿免疫科医嘱用药,无不适可出院,三月后返院复查,至风湿免疫科门诊随诊。
讨论
腹膜后纤维化是一种临床少见疾病,指的是以腹膜后异常增生的炎性纤维组织包块包绕腹主动脉和髂动脉及其相邻结构如下腔静脉、输尿管等为特征。可独立存在或是系统性免疫性疾病的表现之一。有特发性及继发性两大类,主要为前者,约占2/3,后者较少见,约占1/3,继发于肿瘤、感染、放疗、药物及手术等。输尿管为最常受累的器官,可能是由于它特殊的解剖特点,位于腹膜后,腰大肌前方,腹主动脉旁、跨过髂血管,同时其对压迫的抵抗力差有关。临床上腹膜后纤维化导致尿路梗阻肾积水临床表现缺乏特异性,可为腰腹痛、肾积水、少尿、甚至无尿。诊断以影像学检查为主,CT及MRI对腹膜后纤维化的诊断有重要意义,但确诊必须依靠手术及病理检查诊断。本例患者,因腰痛至医院就诊行泌尿系CTU明确病情。
1.影像学检查在腹膜后纤维化致尿路梗阻肾积水诊断中的特点及选择
①泌尿系彩超主要为患侧受累输尿管扩张,肾盂积水,部分可见不规则增厚的低回声区,包绕腹主动脉前壁及两侧壁,仅作为初步筛查。
②腹部CT:可显示腹膜后软组织肿块影,其值与肌肉相似,条索状,可有钙化,位置可为腹主动脉、腹主动脉分叉处、髂总动脉周围,强化扫描见软组织影前缘边界清楚,后缘不清;泌尿系CTU可进一步明确受累输尿管梗阻部位、程度及患侧肾积水程度。一般作为主要检查手段。
③MRI检查:可显示腹膜后的异常信号包绕腹膜后大血管及肾门周围,异常信号似肌组织,特征为T1低信号肿块,T2为均匀低信号,边缘锐利清楚;MRU,磁共振尿路成像可显示肾盂及输尿管扩张,可明确输尿管梗阻部位。作为CT检查的辅助或CT增强造影剂过敏的替代。
2.治疗方案的选择
由于腹膜后纤维化的病因、发病机制尚不明确,无统一的诊断标准。而其致尿路梗阻肾积水,治疗方案上需采用内外科相结合的综合治疗方案,即应用免疫抑制剂及激素或抗纤维化药物加手术治疗。
一般来说,对于腹膜后纤维化患者来说,有症状的应当尽早开始药物治疗。其中主要以类固醇激素联合免疫抑制剂。起病阶段,大剂量泼尼松诱导治疗,可有效抑制疾病进展。但治疗期间要监测诸如CRP、ESR等相关炎性指标,结合患者症状改变情况,及时调整剂量,影像学检查明确腹膜后组织改变情况。出现临床缓解,激素需减量,通常维持在半年以上。部分患者可能对使用激素禁忌,可以选择具有抗血管生存作用的他莫昔芬,其可下调与成纤维细胞增生和胶原生成有关的生长因子水平,被认为治疗有效 ,而且患者耐受性好。
对于腹膜后纤维化致尿路梗阻肾积水,应及时通过外科手术干预,通过手术来解除尿路梗阻,缓解肾积水,保证有效的尿路引流,降低对肾功能影响,改善或长期维持正常的肾功能。。目前我们常采用的术式有输尿管镜检支架管置入术、输尿管狭窄或梗阻段切除再吻合术、输尿管松解术、输尿管网膜包裹术、肠代输尿管、输尿管皮肤造口、经皮肾造瘘等。我们的经验是先行输尿管镜检支架管置入配合腹膜后纤维化的常规药物治疗,三月后至半年复查肿块缓解情况及肾积水改善情况,效果欠佳行腹腔镜下输尿管松解术,同时将其移至腹腔或大网膜包裹。将输尿管移至腹腔内稳定可靠,安全性高,缺点是输尿管离开原先解剖位置,容易造成局部输尿管成角、扭转。我们术中充分游离粘连处上、下段输尿管,并将出入腹腔输尿管的浆肌层与腹膜简单缝合固定,可有效防止输尿管成角、扭转。用带蒂大网膜原位包裹患侧受累输尿管利于其正常蠕动,保持尿路通常,尿液引流,同时带蒂大网膜本身具有吸收、抗炎作用,理论上可防止纤维包裹。若患者肾积水严重,肾脏已无功能,在对侧肾功能完好的情况下,可行患肾切除术。
总结
腹膜后纤维化指的是以腹膜后异常增生的炎性纤维组织包块包绕腹主动脉和髂动脉及其相邻结构如下腔静脉、输尿管等为特征的临床少见疾病。可独立存在或是系统性免疫性疾病的表现之一。有特发性及继发性两大类,主要为前者,约占2/3,后者较少见,约占1/3,继发于肿瘤、感染、放疗、药物及手术等。本病特点为腹膜后形成致密的胶原结缔组织板
块,常见于第4腰椎与骶椎之间区域。病变可为广泛性、局限性或节段性。输尿管为最常受累器官。输尿管受侵犯多在中下段,常为双侧,不对称病变。早期症状不明显,疾病后期纤维组织收缩,压迫所包绕的输尿管致尿路梗阻导致肾积水。临床表现缺乏特异性,可为腰腹痛、肾积水、少尿、甚至无尿。诊断以影像学检查为主,CT及MRI对腹膜后纤维化的诊断有重要意义,但确诊必须依靠手术及病理检查诊断。治疗方案上需采用内外科相结合的综合治疗方案,即应用免疫抑制剂及激素或抗纤维化药物加手术治疗。对于腹膜后纤维化致尿路梗阻肾积水,应及时通过外科手术干预,通过手术来解除尿路梗阻,缓解肾积水,保证有效的尿路引流,降低对肾功能影响,改善或长期维持正常的肾功能。。目前我们常采用的术式有输尿管镜检支架管置入术、输尿管狭窄或梗阻段切除再吻合术、输尿管松解术、输尿管网膜包裹术、肠代输尿管、输尿管皮肤造口、经皮肾造瘘。早期肾脏积水较轻,可采用输尿管支架管置入联合药物治疗,复查肿块缓解及肾积水改善情况,严重的病例或双侧,可行腹腔镜下输尿管松解,同时将其移至腹腔或大网膜包裹,可最大程度缓解尿路梗阻肾积水情况。术后复查至关重要,同时需风湿免疫科随诊。